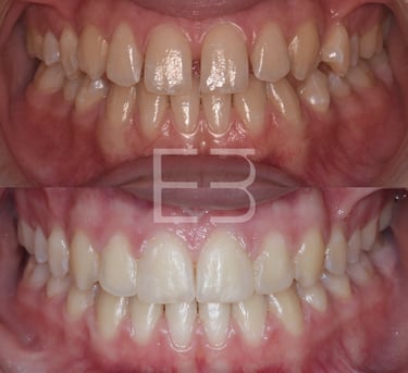
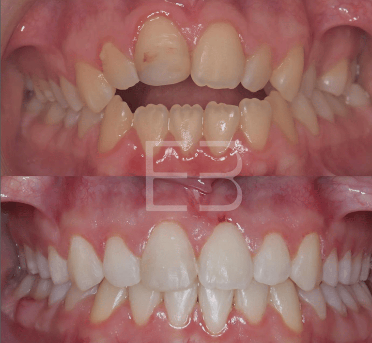
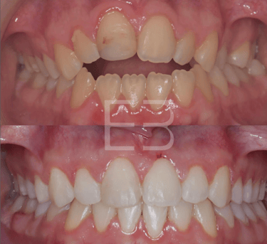
Ortodoncia
Los tratamientos de ortodoncia realizan movimientos suaves que son capaces de desplazar los dientes de forma individual. Una ortodoncia, tiene el doble objetivo de conseguir una buena oclusión y una correcta alineación de los dientes. De este modo se obtienen beneficios estéticos y funcionales.


Ortodoncia removible
Son aquellos aparatos de corrección que van sujetos de manera firme a los dientes pero que pueden ser extraídos para su limpieza.
Ortodoncia invisible: Con la ortodoncia invisible conseguirás alinear tus dientes sin brackets. La ortodoncia invisible se realiza mediante una serie de alineadores (férulas) transparentes y removibles. En nuestro caso, trabajamos con las casas comerciales más pioneras en este sector como es Spark ® e Invisalign ®


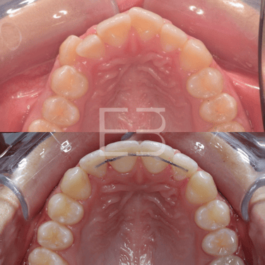
Ortodoncia fija
Se realizan con elementos que se adhieren directamente a los diente (brackets)
Existen dos tipos de brackets:
Brackets metálicos
Brackets zafiro, estéticos o cerámicos


Preguntas frecuentes
El ortodoncista especializado es el encargado de diagnosticar al paciente si necesita un tratamiento de ortodoncia, qué tratamiento necesita en cada caso. Para ello, el ortodoncista evalúa al paciente mediante un examen clínico, modelos de yeso de los dientes, radiografías y fotografías.
El tiempo necesario para conseguir el objetivo depende de muchos factores, en general los tratamientos de ortodoncia suelen durar entre 6 y 16 meses, para correcciones leves, y hasta 3 años para correcciones más graves. Los tratamientos correctivos son seleccionados por el ortodoncista enfunción de la gravedad y necesidades del paciente.
El tratamiento de ortodoncia se seleccionará en función del trastorno bucodental que se debe corregir, la edad no es un factor principal para su elección. Sin embargo, existe la ortodoncia infantil dirigida a prevenir posibles complicaciones futuras.
Por otro lado, la edad puede ser un factor determinante para el éxito o duración de un tratamiento. En el caso de movimientos ortopédicos no pueden ser realizados en la edad adulta y sólo podría realizarse mediante cirugía ortognática
¿CÓMO SÉ SI NECESITO ORTODONCIA?
¿CUÁNTO TIEMPO DURA UNA ORTODONCIA?
¿VARÍA LA ORTODONCIA EN FUNCIÓN DE LA EDAD?











